Sie sind hier: Startseite > Harnleiter > Megaureter
Megaureter: Ursachen, Diagnose und Therapie
Definition des Megaureters
Der Megaureter ist eine angeborene Uretererweiterung von über 7–8 mm (Shokeir und Nijman, 2000) (Wilcox und Mouriquand, 1998) (EAU Guidelines Paediatric Urology), gemäß der Ursache wird weiter eingeteilt:
Primär obstruktiver Megaureter (POM):
Der primär obstruktive Megaureter ist eine angeborene Ureterdilatation durch ein aperistaltisches Uretersegment am ureterovesikalen Übergang. Ein embryologischer Entwicklungsstopp des Ureters führt zu einer Desorientierung der Muskelfasern und beeinträchtigt die Ureterperistaltik.
![]() |
Sekundär obstruktiver Megaureter:
Erhöhter intravesikaler Druck, erhöhte Spannung der Harnblasenwand und Narbenbildung führen zu einer Obstruktion im Bereich der Ureterpassage durch die Harnblasenwand.
Refluxiver Megaureter:
Primärer oder sekundärer vesikoureteraler Reflux verursacht die Ureterdilatation beim refluxiven Megaureter.
Idiopathischer (nicht obstruktiver oder refluxiver) Megaureter:
Die meisten Megaureteren bei Neugeborenen fallen in diese Kategorie, wobei die Ursache meist unklar bleibt. Eine erhöhte Urinproduktion, eine verzögerte Ureterreifung und eine subklinische Obstruktion werden als auslösende Faktoren diskutiert.
Obstruktiver und refluxiver Megaureter:
Prävesikale Enge mit Obstruktion und zusätzlich vesikoureteralem Reflux (selten).
Epidemiologie des Megaureters
Der Megaureter ist die Ursache für 20 % der pränatal diagnostizierten Hydronephrosen.
Diagnostik des Megaureters
Sonographie:
Die Sonographie ist gut geeignet zur Differentialdiagnose zwischen Harnleiterabgangsenge und Megaureter [Abb. Sonographie: Megaureter]. Der Harnleiter bei Kindern ist normalerweise unter 5 mm weit.
Ausscheidungsurographie:
Die Ausscheidungsurographie eignet sich ebenfalls gut zur differentialdiagnostischen Abgrenzung der Harnleiterabgangsenge vom Megaureter. Darüber hinaus gibt die Untersuchung Hinweise auf die Nierenfunktion der betroffenen Seite.
Miktionszysturethrographie:
Die MCU dient zur Bestätigung oder Ausschluss von vesikoureteralen Reflux oder Harnblasenentleerungsstörungen durch Harnröhrenklappen.
Nierenfunktionsszintigramm:
Bestimmung der seitengetrennten Nierenfunktion. In Kombination mit einem Diuretikum kann eine echte Obstruktion vom idiopathischen Megaureter unterschieden werden: 20 min nach Furosemid-Stimulation sollten 50 % der Aktivität aus dem Nierenbecken und Harnleiter ausgewaschen sein.
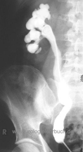
Retrograde Pyelographie:
Die retrograde Pyelographie wird zur Darstellung der Anatomie und zur Differentialdiagnose bei unklarer Bildgebung verwendet [Abb. 2.6], insbesondere bei verzögerter Diagnose im Erwachsenenalter.
|
Whitaker-Test:
Bestimmung des Nierenbeckendrucks über eine perkutane Nephrostomie bei einem Flow von 10 ml/min. Indiziert bei Unklarheiten im Nierenfunktionsszintigramm, insbesondere bei schlechter Nierenfunktion.
Therapie des Megaureters
Primär obstruktiver Megaureter:
Der primäre obstruktive Megaureter zeigt bei Kindern eine gute spontane Heilungsrate. Indikation für eine Intervention (Ballon-Dilatation oder Operation) sind eine szintigraphisch nachgewiesene signifikante Obstruktion, wiederkehrende fieberhafte Harnwegsinfektionen oder zunehmender anteiliger Funktionsverlust der Niere.
Ballon-Dilatation:
Ballon-Dilatation und passagere Einlage einer DJ Harnleiterschiene über mehrere Monate, langfristige Heilungsraten von 25–90% werden beschrieben (Kassite u.a., 2018).
![]() |
![]() |
Operative Therapie:
Die operative Korrektur eines Megaureters beinhaltet die Exzision des engen prävesikalen Segmentes, Harnleitermodellage (Faltung oder gefäßschonende longitudinale Teilresektion, siehe obige Abbildung) und Ureterozystoneostomie.
Sekundär obstruktiver Megaureter:
Nach Therapie der Grunderkrankung sind i. d. R. keine weiteren Maßnahmen notwendig.
Refluxiver Megaureter:
Siehe vesikoureteraler Reflux, in den meisten Fällen genügt eine konservative Therapie. Chirurgische Therapieoptionen sind eine Ureterozystoneostomie mit ggf. Harnleitermodellage, siehe oben.
Idiopathischer (nicht obstruktiver oder refluxiver) Megaureter:
Beobachtung, konservative Therapie.
| Vesikoureteraler Reflux | Suchen | Retrokavaler Ureter |
Sachregistersuche: A B C D E F G H I J K L M N O P Q R S T U V W X Y Z
Literatur Megaureter
EAU guidelines: Paediatric Urology
I. Kassite et al., “High Pressure Balloon Dilatation of Primary Obstructive Megaureter in Children: A Multicenter Study.,” Front Pediatr, vol. 6, p. 329, 2018, doi: 10.3389/fped.2018.00329.
Shokeir und Nijman 2000 SHOKEIR, A. A. ; NIJMAN,
R. J.:
Primary megaureter: current trends in diagnosis and treatment.
In: BJU Int
86 (2000), Nr. 7, S. 861–8
Wilcox und Mouriquand 1998 WILCOX, D. ;
MOURIQUAND, P.:
Management of megaureter in children.
In: Eur Urol
34 (1998), Nr. 1, S. 73–8
English Version: Diagnosis und treatment of megaureter
Leseempfehlung:
Urologielehrbuch.de ohne Werbung
Diese Internetseite ermöglicht mit Hilfe von Werbung den Volltext-Zugriff auf das aktuelle Urologielehrbuch.de. Viele Bilder sind zum Schutz von Laien verpixelt oder ausgeblendet. Regelmäßig wiederkehrende (fachkundige) Leser können die Werbebanner abschalten und Zugriff auf alle Abbildungen erhalten: Werden Sie Mitglied über die Crowdfunding-Plattform Steady und unterstützen Sie damit Urologielehrbuch.de.
Urologielehrbuch.de als Hardcover-Buch
Aktuell, detailliert und übersichtlich: Urologielehrbuch.de wird auch als hochwertiges Hardcover-Buch veröffentlicht. Die 17. Auflage (Ausgabe 2024) ist seit Oktober 2024 verfügbar, siehe Abschnitt Neuigkeiten für die Aktualisierungen und Links für den Buchkauf.



