Sie sind hier: Startseite > Nieren > Nierenzyste
Diagnose, Bosniak-Klassifikation und Therapie von Nierenzysten
Definition der Nierenzyste
Einfache Nierenzyste
Die einfache Nierenzyste ist eine solitäre oder multiple, uni- oder bilateral auftretende, runde, mit klarem Inhalt gefüllte Läsion der Niere ohne Verbindung mit dem Nierenbeckenkelchsystem und ohne Malignitätsverdacht.
Parapelvine Nierenzyste
Die parapelvine Nierenzyste ist eine Nierenzyste in Nachbarschaft des Nierenbeckens.
Peripelvine Sinuszysten:
Meist multiple und auch bilateral auftretende Erweiterung der Lymphgefäße im Sinus renalis. Aufgrund der fehlenden Epithelauskleidung sind es keine echten Nierenzysten.
Komplizierte Nierenzyste
Die komplizierte Nierenzyste ist eine zystische Nierenläsion mit mindestens einem atypischen Merkmal, das eine sichere Einordnung als benigne nicht erlaubt. Dazu gehören zum Beispiel Septen, Wandverdickungen, Verkalkungen, eingebluteter oder proteinreicher Inhalt, Kontrastmittelaufnahme oder noduläre Anteile.
Epidemiologie:
Die Prävalenz steigt mit dem Alter: 20 % mit 40 Lebensjahren, 33 % mit 60 Lebensjahren.
Ursachen der Nierenzyste:
Nierenzysten sind zystische Erweiterung ausgehend von einem Nephronabschnitt. Die typischen multiplen peripelvine Sinuszysten gehen von Lymphgefäßen aus, oft nach Nephrolithiasis oder Harnstau.
Pathologie der einfachen Nierenzyste:
Dünne fibröse Zystenwand ausgekleidet mit einfachem flachen bis kubischen Epithel.
Klinik
In der Regel ohne Beschwerden, ansonsten selten:
- Flankenschmerzen: Flankenschmerzen oder abdominelle Verdrängungssymptome.
- Hämaturie: Hämaturie bei Ruptur in das Hohlsystem.
- Arterieller Hypertonus: Arterieller Hypertonus bei Kompression der Nierenarterie oder eines ihrer Äste.
- Hydronephrose: Hydronephrose bei Kompression des Hohlsystems.
- Infektion: Infektion mit Fieber und Flankenschmerzen.
Diagnose
Ziel der Bildgebung ist die sichere Unterscheidung zwischen einfacher benigner Nierenzyste und komplexer zystischer Nierenraumforderung mit potenziellem Malignitätsrisiko.
Sonographie:
Sonographische Kriterien für die einfache Nierenzyste sind:
- Echofreier Inhalt, keine Septen
- Keine Verdickung der runden bis ovalen Zystenwand, keine Verkalkungen
- Dorsale Schallverstärkung
Bei atypischem Ultraschallbefund ist eine kontrastmittelverstärkte CT oder MRT indiziert.
Computertomographie:
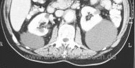
Das CT-Abdomen ist indiziert bei suspektem Sonographiebefund wie Septierung, Zystencluster, Wandverstärkung oder Verkalkung, echogener Inhalt der Zyste. Die morphologischen Kriterien für eine einfache Nierenzyste im CT sind ähnlich wie in der Sonographie (s. o.). Die Dichte beträgt normalerweise -10 bis 20 HU, es gibt jedoch auch hyperdense einfache Zyste mit 20–90 HU. Wichtig ist die fehlende Kontrastierung der Zystenwand und des Zysteninhaltes nach Kontrastmittelgabe. Verkalkungen sind nicht obligat suspekt [CT Abbildung von Nierenzysten].
Einteilung der Nierenzysten nach Bosniak:
- Bosniak I: eindeutig benigne Zyste. Kein Malignitätsrisiko.
- Bosniak II: geringe Septierung (<1 mm), dünne Verkalkungen (Dicke nicht messbar), hyperdense Läsionen (nach Einblutung oder gefüllt mit proteinreicher Flüssigkeit) zeigen keine Kontrastmittelaufnahme, gut abgegrenzt mit einer Größe unter 3 cm, Malignitätsrisiko 0%, Kontrollen sind nicht notwendig.
- Bosniak IIF: in diese Gruppe werden Zysten subsummiert, welche nicht eindeutig in Bosniak II oder III eingeteilt werden können und somit Nachkontrollen benötigen (F für follow-up), das Malignitätsrisiko beträgt 5 %.
- Bosniak III: nicht eindeutig benigne Zyste: Zystenwand oder Septen über 1 mm Dicke mit Kontrastmittelaufnahme. Das Malignitätsrisiko beträgt 50 %.
- Bosniak IV: zystische Nierenraumforderung mit kontrastmittelaufnehmenden soliden Anteilen. Das Malignitätsrisiko beträgt 75–90 %.
Kontrastmittelverstärkter Ultraschall:
Kann die Aussagekraft der Ultraschalluntersuchung verbessern (Untersucherabhängig) und die Notwendigkeit für eine Computertomographie bei suspekten Ultraschallbefunden reduzieren. .
MRT-Abdomen:
Gute Alternative zu einer Computertomographie, insbesondere bei wiederholten Verlaufskontrollen suspekter Läsionen und bei Kontraindikationen gegen jodhaltiges KM. Das MRT vermeidet die hohe Strahlenbelastung einer mehrphasigen CT-Untersuchung und bietet einen höheren Weichteilkontrast mit besserer Differenzierung von hämorrhagischen oder lipomatösen Komponenten. Wichtig ist die Mithilfe des Patienten bei der Untersuchung zur Vermeidung von Artefakten durch die Atemverschieblichkeit der Nieren.
Therapie der einfachen Nierenzyste
Asymptomatische einfache Nierenzysten benötigen keine Therapie und keine routinemäßige Verlaufskontrolle. Behandlungsindikationen sind Beschwerden, Harnstau, rezidivierende Blutung, Infektion oder selten therapierefraktäre Hypertonie bei plausibler Kausalität.
Perkutane Nierenzystenpunktion
Für die Diagnose "symptomatische Nierenzyste" ist zu fordern, dass nach diagnostischer Punktion und Aspiration die Beschwerden zumindest eine Zeit lang verschwinden. Ein geringer Anteil der Patienten ist durch diese einmalige Punktion und Aspiration geheilt. Zytologie und Kreatininbestimmung im Punktat sind bei eindeutig einfacher Zyste nicht obligat. Bei Rezidiv der Zyste und Beschwerden wird die definitive Therapie durch eine perkutane Zystensklerosierung oder eine laparoskopische Zystenabtragung notwendig.
Perkutane Nierenzystensklerosierung:
Die perkutane Aspiration mit anschließender Sklerosierung ist eine etablierte minimalinvasive Therapie symptomatischer einfacher Nierenzysten. Unter sonographischer Kontrolle wird eine dünne Nephrostomie in der Nierenzyste positioniert. Der Zysteninhalt wird abgelassen und das Volumen gemessen. Die Instillation von Kontrastmittel bestätigt die Diagnose, das Kontrastmittel darf das Hohlsystem nicht kontrastieren. Fakultativ wird die Kreatininkonzentration bestimmt und eine zytologische Untersuchung veranlasst.
Das am häufigsten verwendete Sklerosierungsmittel ist Ethanol (99 %), die Dosierung beträgt 20 % vom Zystenvolumen, maximal 100 ml und wird 90–120 min belassen. Je länger der Alkohol Kontakt mit der Zyste hat (mehrere Füllungen, Verweilzeit), desto niedriger ist die Rezidivrate. Alternativ wird Polidocanol verwendet. In ungefähr 10–30 % entsteht ein Rezidiv. Die Therapie kann wiederholt werden.
Laparoskopische Nierenzysten-Marsupialisation:
Die laparoskopische oder retroperitoneoskopische Marsupialisation ist vor allem bei großen, rezidivierenden oder ungünstig lokalisierten symptomatischen einfachen Nierenzysten sinnvoll. Sie bietet im Vergleich zur perkutanen Aspiration mit Sklerosierung eine geringere Rezidivrate, ist aber invasiver. Laparoskopische oder retroperitoneoskopische Nierenfreilegung je nach Zystenlokalisation. Identifikation des Harnleiters bei anatomischer Nähe zur Zyste. Das Zystendach wird nahe am Nierenparenchym abgetragen, die Basis der Zyste verbleibt.
![]() |
Prognose der einfachen Nierenzyste:
Einfache Nierenzysten zeigen häufig ein langsames Größenwachstum über Jahre. Eine Größenzunahme allein beweist keine Malignität; entscheidend für die Risikobeurteilung sind morphologische Kriterien und insbesondere eine neu auftretende oder zunehmende Komplexität nach Bosniak (siehe oben).
| multilok. Zyste | Suchen | Parapelv. Nierenzyste |
Sachregistersuche: A B C D E F G H I J K L M N O P Q R S T U V W X Y Z
Referenzen
Israel, G. M. & Bosniak, M. A. An update of the Bosniak renal cyst classification system.Urology, 2005, 66, 484-488
English Version: Kidney cyst
Urologielehrbuch.de ohne Werbung
Diese Internetseite ermöglicht mit Hilfe von Werbung den Volltext-Zugriff auf das aktuelle Urologielehrbuch.de. Viele Bilder sind zum Schutz von Laien verpixelt oder ausgeblendet. Regelmäßig wiederkehrende (fachkundige) Leser können die Werbebanner abschalten und Zugriff auf alle Abbildungen erhalten: Werden Sie Mitglied über die Crowdfunding-Plattform Steady und unterstützen Sie damit Urologielehrbuch.de.
Urologielehrbuch.de als Hardcover-Buch
Aktuell, detailliert und übersichtlich: Urologielehrbuch.de wird auch als hochwertiges Hardcover-Buch veröffentlicht. Die 17. Auflage (Ausgabe 2024) ist seit Oktober 2024 verfügbar, siehe Abschnitt Neuigkeiten für die Aktualisierungen und Links für den Buchkauf.

