Sie sind hier: Startseite > Nieren > perinephritischer Abszess
Perinephritischer Abszess
Literatur perinephritischer Abszess: (Angel u.a., 2003) (Shu u.a., 2004).
Definition des perinephritischen Abszesses
Der perinephritische Abszess ist eine eitrig abgekapselte Entzündung innerhalb der Fascia renalis.
Ätiologie des perinephritischen Abszesses
Gramnegative Bakterien:
am häufigsten werden perinephritische Nierenabszesse von gramnegativen Bakterien wie E. coli und Proteus ausgelöst. Diese entstehen im Rahmen von Nierenabszessen, welche sich in den perinephritischen Raum ausbreiten.
Staphylokokken:
vor der antibiotischen Ära waren hämatogen gestreute grampositive Staphylokokken die Hauptursache für perinephritische Abszesse.
Heutige Risikogruppen: intravenöser Drogenabusus, intensivpflichtige oder dialysepflichtige Patienten, Herzklappenvitien, Endokarditis.
Klinik des perinephritischen Abszesses
In der Regel längerdauernder Prozess (über eine Woche) mit Fieber, Flanken- oder Bauchschmerz und Schüttelfrost.
Diagnostik des perinephritischen Abszesses
Urinkultur:
identifiziert den verantwortlichen Keim nur in 30 % der Fälle.
Labor:
die Blutkultur identifiziert den verantwortlichen Keim in 50 % der Fälle. Blutbild, Blutgerinnung, CRP, Leber- und Nierenwerte. Bei V. a. Sepsis ggf. Bestimmung von weiteren Sepsisparametern wie Blutgasanalyse, AT III und Fibrinogen.
Sonographie:
echoarme Raumforderung perirenal, evtl. Zeichen perirenaler Luft (echogener Reflex mit dorsaler Schallauslöschung).
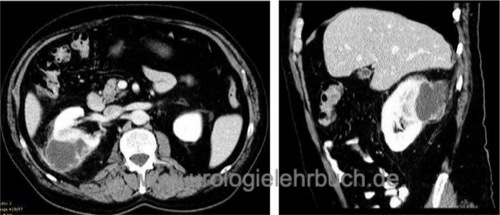
CT:
Diagnostikum der Wahl [Abb. Perinephritischer Abszess in der CT]. Der perinephritische Abszess zeigt sich als hypodenses Areal. Lufteinschlüsse sind möglich. Nach Kontrastmittelgabe zeigt sich eine Anreicherung des Randbereiches, dies entspricht der Abszesskapsel und imponiert als Ringzeichen.
Urogramm:
das Urogramm ist bei V. a. Abszess nicht sehr hilfreich. In der Leeraufnahme kann ein abnormer Nierenschatten, Nephrolithiasis, fehlender Psoasrandschatten oder retroperitoneale Luft gesehen werden. Die Kontrastmittelphase ist oft ohne pathologischen Befund.
Therapie des perinephritischen Abszesses
Die Therapie besteht wie bei einem Nierenabszess aus einer suffizienten parenteralen Antibiotikatherapie und perkutaner Abszessdrainage. Das Punktat sollte zur mikrobiologischen Untersuchung eingeschickt werden. Siehe Therapie Nierenabszess. Bei fortgeschrittener Erkrankung ist die operative Drainage notwendig, eine persistierende Sepsis trotz maximaler Therapie erzwingt die Nephrektomie.
| Nierenabszess | Suchen | xanthogranulomatöse PN |
Sachregistersuche: A B C D E F G H I J K L M N O P Q R S T U V W X Y Z
Literatur perinephritischer Abszess
Angel u.a. 2003 ANGEL, C. ; SHU, T. ; GREEN, J. ; ORIHUELA, E. ; RODRIQUEZ, G. ; HENDRICK, E.: Renal and peri-renal abscesses in children: proposed physio-pathologic mechanisms and treatment algorithm.In: Pediatr Surg Int
19 (2003), Nr. 1–2, S. 35–9
Shu u.a. 2004 SHU, T. ; GREEN, J. M. ;
ORIHUELA, E.:
Renal and perirenal abscesses in patients with otherwise anatomically
normal urinary tracts.
In: J Urol
172 (2004), Nr. 1, S. 148–50
English Version: perinephric abscess
Urologielehrbuch.de ohne Werbung
Diese Internetseite ermöglicht mit Hilfe von Werbung den Volltext-Zugriff auf das aktuelle Urologielehrbuch.de. Viele Bilder sind zum Schutz von Laien verpixelt oder ausgeblendet. Regelmäßig wiederkehrende (fachkundige) Leser können die Werbebanner abschalten und Zugriff auf alle Abbildungen erhalten: werden Sie Mitglied über die Crowdfunding-Plattform Steady und unterstützen Sie damit Urologielehrbuch.de.
Urologielehrbuch.de als Hardcover-Buch
Aktuell, detailliert und übersichtlich: Urologielehrbuch.de wird auch als hochwertiges Hardcover-Buch veröffentlicht. Die 17. Auflage (Ausgabe 2024) ist seit Oktober 2024 verfügbar, siche Abschnitt Neuigkeiten für die Aktualisierungen und Links für den Buchkauf.
